Is
Falcon MD
FDA cleared?

Of course, Falcon MD does that.
Never used Falcon MD? No problem. If you're considering switching to Falcon MD from another DICOM viewer, you're in the right place. Take a look and learn about all things Falcon MD does and how getting started. is easier than you think.
Is
the mobile
app also FDA
cleared?
Can I
transfer
my studies?
Does it
connect
to my PACS?
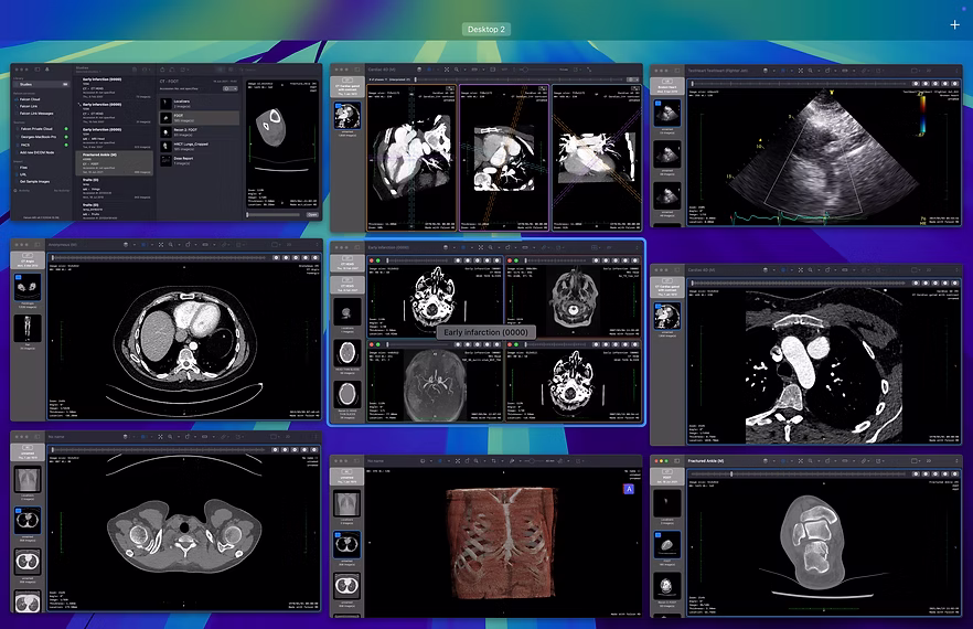
Get more with Falcon MD.
Like a LOT more.
Speed that's just 🤯

You won't
BELIEVE YOUR EYES.

Powerful. Portable.
Anywhere. Instantly.

QUESTIONS? ANSWERS.
Can Falcon MD read my existing studies?
Yes. Falcon MD supports standard DICOM files and works with studies exported from most PACS systems, modalities, and imaging software.
Can I move my studies from another viewer?
Yes. If your previous viewer exports standard DICOM, you can open those studies directly in Falcon MD.
Will Falcon MD connect to my PACS?
Yes. Falcon MD supports standard DICOM networking including Query/Retrieve, Store, and direct connections to PACS and modalities.
Is Falcon MD really FDA cleared?
Yes. Falcon MD is FDA cleared for diagnostic use on supported platforms.
Is there a mobile version?
Yes. Falcon MD is available on mobile devices and is also FDA cleared for diagnostic use.
Do I need special hardware?
No. Falcon MD runs on modern Apple devices using Apple Silicon. No specialized workstation hardware is required.
Is it difficult to switch?
Not at all. Most users can start using Falcon MD within minutes. Import a study or connect to your PACS and you are ready to go.
Can I try Falcon first?
Falcon Mx offers a trial so you can test your own data and workflow before switching to Falcon MD.
Still have questions?
Contact us at info@icat.solutions and we'll be happy to help.